
यदि आप भी है दांतों की समस्या से परेशान तो अपनाइए यह घरेलू उपाय?

आजकल हमारी बदलते खान-पान की वजह से दांतों की समस्या भी लगातार बढ़ती जा रही है। जिसके कारण बच्चों से लेकर बड़े बूढ़े तक परेशान है। कभी-कभी तो यह समस्या इतनी बढ़ जाती है कि खाना पीना भी मुश्किल हो जाता है। तो चलिए ऐसे में आज हम आपको कुछ घरेलू उपाय बताने वाले हैं, जिनका इस्तेमाल करने से आप दांतों की समस्या से राहत पा सकते हैं। आईए जानते हैं कौन से हैं वह घरेलू उपाय?
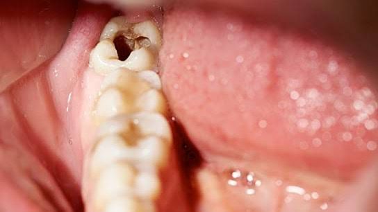
आजकल दांतों से जुड़ी समस्या बहुत तेजी से बढ़ने लगी है। इसका मुख्य कारण दांतों सही देखभाल नहीं करना और अनहेल्दी खानपान का सेवन आदि। हम अपने चेहरे, त्वचा और बालों का तो ख्याल रखते हैं, लेकिन दांतों को कितनी गंभीरता से लेते हैं, जो हमें आत्मविश्वास से मुस्कुराने की इजाजत देती हैं। दरअसल, दांत और मसूड़े हमारे पाचन तंत्र की पहली सीढ़ी हैं और इनका स्वास्थ्य पूरे शरीर के लिए महत्वपूर्ण है। एक बार दांतों में कैविटी हो जाती है, तो दांतों में छोटे-छोटे छेद हो जाते हैं, जिनमें खाने के कण फंस जाते हैं और फिर धीरे-धीरे समस्या बढ़ने लगती है। अगर, आप भी दांतों की समस्या से परेशान हैं और राहत पाना चाहते हैं तो आप भी अपना सकते हैं यह घरेलू उपाय?
कैसे पाएं दांतों की समस्या से निजात।
अमरूद के पत्तों का इस्तेमाल करें।
मेडिकल एक्सपर्ट के मुताबिक अमरूद के पत्तों में एंटी-बैक्टीरियल और एंटी-इंफ्लेमेटरी गुण होते हैं। मुंह और मसूड़ों की समस्याओं को दूर करने के लिए अमरूद के पत्तों का इस्तेमाल माउथवॉश के रूप में किया जा सकता है। इसके लिए, 8 से 10 पत्तों को धोकर एक गिलास पानी में अच्छी तरह उबाल लें। जब यह मिश्रण गर्म हो जाए तो इसे छान लें। इसे सुबह और शाम खाना खाने के बाद गरारे कर सकते हैं। इसके अलावा अमरूद के पत्तों को चबाकर थूक भी सकते हैं। इससे दांतों पर जमा बैक्टीरिया मर जाते हैं और मसूड़ों की सूजन कम हो जाती है।
रेशेदार फूड्स का सेवन करें।
अपने दांतों को साफ करने का एकमात्र तरीका ब्रश करना ही नहीं है। कुछ रेशेदार सब्जियां और फल खाने से आपके दांत प्राकृतिक रूप से स्क्रब हो जाते हैं। सेब, गाजर या खीरे जैसे रेशेदार फूड्स चबाते हैं, तो चबाने की प्रक्रिया दांतों पर जमी प्लाक की पतली परत को प्राकृतिक रूप से हटा देती है। यह प्राकृतिक रूप से दांतों की सफाई करता है और कैविटी को बढ़ने से रोकता है।
लौंग के तेल का इस्तेमाल करें।
लौंग में यूजेनॉल नामक एक प्रभावी प्राकृतिक रसायन होता है, जो अपने प्राकृतिक दर्द निवारक और जीवाणुरोधी गुणों के लिए जाना जाता है। दांतों की सड़न से होने वाले दर्द और सूजन को कम करने में लौंग बहुत उपयोगी है। लौंग का तेल की कुछ बूंदें रुई पर लें और उस दांत पर 10 से 15 मिनट तक दबाएं जिसमें दर्द हो रहा हो या कैविटी हो। यूजेनॉल उस जगह के बैक्टीरिया को मार देता है और दर्द को अस्थायी रूप से कम कर देता है।







